Holmes Dental Care logo
029 2061 7703
header image

Root Canal Treatment

Eliminate the toothache, not the tooth

When we say the words ‘root canal’, most people automatically think ‘pain’. And while nobody would describe getting a root canal as a joyous way to spend a Wednesday afternoon, we really do believe we can change perceptions about root canal here at Holmes Dental Care. Modern root canal is nothing like what patients may have experienced a few decades ago – in fact, it’s considered as routine as getting a filling. At Holmes Dental Care, we offer a range of pain-relief options so your root canal procedure really is nothing to fear.

Default Alt Text

Why have root canal treatment?

  • Can save an infected tooth from extraction
  • Removes a source of infection that could spread to other areas
  • Prevents further problems that could be caused by losing a tooth
  • Relieves pain and toothache
  • Less expensive than replacing a lost tooth

When is root canal treatment needed?

If you experience sudden toothache, sensitivity to hot and cold, swelling around a tooth, or a darkened tooth, it may be that the dental pulp inside your tooth has become infected. This can happen for a number of reasons, including tooth decay, gum disease, injury, trauma, or stress caused by repeated treatments. Infection may also be caused by broken crowns or damaged fillings. If you experience these symptoms, it is likely root canal treatment will be needed to save your tooth from extraction.

Default Alt Text

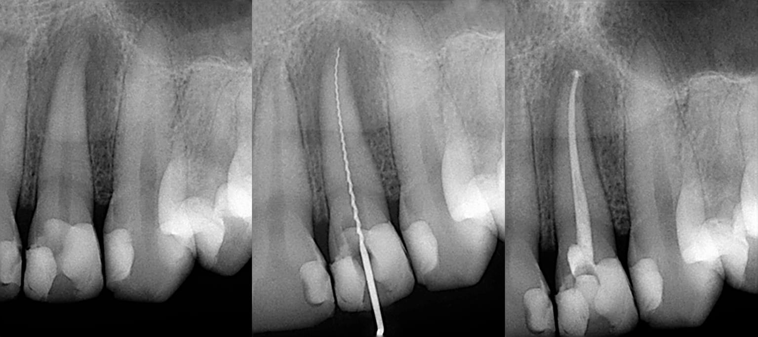
What does root canal treatment involve?

Root canal treatment usually requires several appointments, depending on the type of tooth being treated. Between appointments, your tooth will be covered and temporarily restored.

At Holmes Dental Care, we carry out root canal treatment in-house, using a state-of-the-art dental microscope and high-powered magnification for the most accurate results. Firstly, we take an x-ray to accurately check the root canals of your tooth and make sure there are no signs of infection in the surrounding bone. We plan your treatment, letting you know of each stage.

We use local anaesthetic to numb your tooth and minimise your discomfort during treatment. We place a rubber sheet around your tooth to keep it dry and to help you swallow comfortably during treatment. We carefully remove the infected pulp and flush the root canals with an antibacterial solution to thoroughly clean them.

We use special tiny instruments to shape the root canals before washing them again to remove any lasting debris. We then fill them with a flexible filling material called gutta-percha to seal the tooth and prevent any bacteria from entering and causing further infection.

The treated root canal is sealed with a permanent filling. In some cases, we may need to use a crown to help restore tooth shape and functionality for a natural looking finish.

Default Alt Text

Frequently asked questions

Does root canal treatment hurt?

Root canal treatment shouldn’t hurt. It is often nowhere as bad as you were expecting! It will instantly eliminate your toothache, giving you incredible relief from the pain of infection.

Does it hurt after a root canal treatment?

As with many dental procedures, you can expect to feel a little discomfort for the first 24-48 hours, but this is manageable with over-the-counter painkillers. You may need to chew on the other side of your mouth while your root-treated tooth is healing, and it is likely you will need to get a dental crown to strengthen your tooth fully.

Why have root canal treatment and not an extraction?

Keeping your tooth is always the best option, because it preserves the structure of your jaw, preventing the bone loss that happens when teeth are missing. Keeping your tooth also prevents your other teeth from shifting position, which can lead to further dental problems.

Will I need to take time off work for a root canal?

You can carry on as normal once the anaesthetic has worn off, though the full healing period will take around a week – just be careful with what you eat, how you chew and maintain an excellent oral hygiene routine.

How do I look after my tooth following endodontic treatment?

The best way to look after your tooth following endodontic treatment is to keep up with a regular brushing and flossing routine. Root filled teeth are still prone to decay, so need to be cared for properly.

How long will my root treated tooth last?

If it is properly cared for, your root treated tooth should function well for many years and cause no issues. In some cases, the treatment may need to be repeated, but this is rare.

See what our clients say about us

Book Call