An innovative and long-lasting solution to tooth loss - single dental implants
Fill the gap in your smile! Book your single dental implants consultation with our industry-recognised implantologist today – treatment from £2860
Fill the gap in your smile! Book your single dental implants consultation with our industry-recognised implantologist today – treatment from £2860
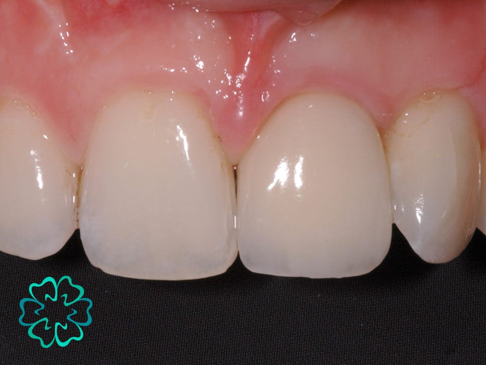
Our dental implant results speak for themselves! Like what you see? Discover how you could complete your smile with innovative and aesthetic implant treatment, led by experienced implantologist Dr Barry Holmes. Book your consultation today!

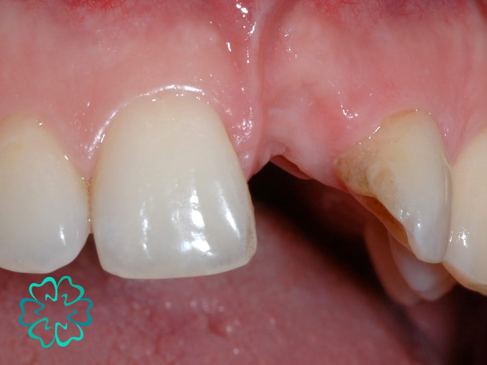
If you have a missing tooth and long to fill the gap, or a problem tooth you would prefer to replace with a secure and natural-looking alternative, dental implants are for you! Completing your smile can significantly improve your quality of life and self-esteem.
A single implant is a strong titanium post, which is placed into your jawbone to create a fixed new root for a direct tooth replacement. Titanium is highly compatible with the human body, and fuses to the surrounding bone to create a solid and secure restoration. Once a crown has been placed over the implant, it will appear virtually indistinguishable from your natural teeth. You can eat whatever you choose and smile confidently once more.
At Holmes Dental Care, we offer payment plans to suit every pocket. Our finance options, including 0% interest-free over 12 months and low-cost over longer terms, are available for our dental implant treatments. Spread the cost of your implant into monthly instalments, subject to suitability. Calculate your rate below and please get in touch for more information.
At Holmes Dental Care, we have an enviable reputation for implant dentistry across Cardiff, South Wales and beyond. Our principal dentist, Dr Barry Holmes, has been successfully placing implants for over 17 years, and is highly experienced in advanced reconstructive techniques. Barry is industry recognised for clinical dentistry, and was one of the first dentists in South Wales to achieve a Master’s Degree specifically in implant dentistry. He is also a full member of the Associate Fellow of the College of Dentistry, Royal College of Surgeons and ADI (Association of Dental Implantology).
At Holmes Dental Care, your care is in expert hands. Dr. Barry Holmes personally oversees every stage of your implant journey, from diagnosis and planning to placement, grafting, and final restoration — ensuring precision, continuity, and exceptional results.
Dental implant treatment usually involves a number of stages to ensure the best possible results. During your initial consultation, Dr Barry Holmes carries out a comprehensive assessment, making sure you are suitable for a single tooth replacement with a dental implant. The treatment process is explained in detail, and you are also given the chance to ask any questions. We also offer free in-person or Zoom initial consultations with our dedicated TCO to help you decide dental implants are right for you.
Your treatment is meticulously planned, taking into account the exact placement needed for your implant. We use state-of-the-art equipment and innovative techniques throughout, and take free scans as part of your consultation or a follow-up appointment. We create a bespoke treatment plan for you, based on the detailed assessment and your dental needs.
We are dedicated to providing the most comfortable and precise treatment for you, with personalised care from our experienced team. We are proud to offer access to dentists with enhanced skills for oral surgery and sedation, if required. We place the small titanium implant into your jawbone, using local anaesthetic to minimise discomfort. Dental sedation can also be used at this stage, if necessary. Over time, the implant fuses with your bone to form a strong ‘root’ for the new tooth. We fit a healing cap to the implant to extend the root and allow the gum to heal.
During the final phase of your dental implant treatment, we attached a custom-made crown to the implant post. This fully restores your missing tooth and gives you a full, confident and beautiful smile once more. Your implant and crown perfectly match the appearance of the surrounding natural teeth, so it is very unlikely that anyone will be able to tell the difference. Around 3-6 months after completing your treatment, we see you for a free implant review to check your new tooth is feeling and looking great. This also includes a free hygiene appointment!
Whether you’re considering a dental implant, want to explore your options, or simply have questions — we’re here to help.
We offer free, no-obligation consultations with our experienced Treatment Care Coordinator, including digital scans, clinical photographs, and a clear explanation of your treatment journey.
Alternatively, you can book a comprehensive implant assessment with Dr Barry Holmes for £105, which is fully redeemable against the cost of treatment should you choose to proceed. As a highly experienced and skilled general dental practitioner and implantologist, Dr Holmes will assess your individual needs and offer a range of treatment options—even if dental implants are not the most appropriate solution for you.
Implants are small titanium screws that replace the root of a tooth beneath the gum line. The titanium screw is inserted into the jaw and, after a few months, it fuses to the bone. Capped with ceramic crowns or bridges, dental implants provide a long-lasting and natural looking solution to missing teeth. Dental implants can look and feel like the real thing, can help to restore your smile and, if properly cared for, can last a lifetime.
Not everyone is suitable for single dental implants, but the majority of people are. Implants are often more affordable than most people think. Find out if you are suitable by booking an implant consultation with us.
Dental implants require the same care as normal teeth. If excellent oral hygiene is maintained, with regular brushing, flossing and frequent dental and hygienist visits then implants can last a lifetime.
Our implant treatment costs are listed on the fees page of our website. We appreciate that dental implants can be a significant investment, which is why we offer a range of payment options, including interest-free credit over 12 months as well as other finance options.
Implant treatment duration can vary from 3 to 6 months for straightforward cases up to approximately 12 months for highly complex cases. The planning stage is crucial, as we need to ensure that treatment matches your requirements and lifestyle. This typically takes around 2-3 weeks, and includes a case presentation, where we discuss every aspect of your treatment before it begins. Single dental implant treatment can be lengthy, but the benefits of your new smile will last for many years.
The different options for single tooth replacement include dental implants, a dental bridge, and a partial denture. Bridges and dentures are often less expensive, but don’t carry the same superior strength, aesthetics and stability as a single implant. They are also unlikely to last as long as an implant. We are happy to help you decide the best solution for your missing tooth – please get in touch to arrange your first appointment.
While we are very happy to accept referrals from professional dentists, you don’t need a referral from your dentist in order to start single tooth replacement treatment with a dental implant. If you are interested in dental implants, you are very welcome to contact us directly to book your initial consultation.




